Real patient stories…
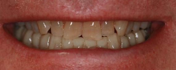
Each patient has a story to tell and for many, it is a long journey… These stories involve sometimes years of suffering with pain and not being able to find any solution or answers.
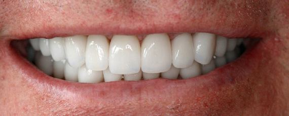
What we can say about each journey is that it has a happy ending, often with a life of no pain and a beautiful smile to show for it!
Chuck

Steve


AnnaMarie
Caitlyn
Marianne
Terry
Nick
Watch more stories on our YouTube channel!
Dr. Alexandra has helped hundreds of patients and she can help you too. Schedule your consultation today!
